Smart microscope slides detect cancer

Publicly released:
Australia; VIC
Cancer cells are easier to see by microscope using NanoMslide
Cancer cells are easier to see by microscope using NanoMslide

An innovative microscope slide, NanoMslide, developed at La Trobe University is promising to revolutionise medical imaging after researchers demonstrated that it can be used to detect breast cancer cells in patients. By modifying the surface of conventional microscope slides at the nanoscale, biological structures and cells take on a striking colour contrast which can be used to instantly detect disease.

Media release

From: La Trobe University

An innovative microscope slide, NanoMslide, developed at La Trobe University is promising to revolutionise medical imaging after researchers demonstrated that it can be used to detect breast cancer cells in patients.

A study published today in Nature demonstrates that by modifying the surface of conventional microscope slides at the nanoscale, biological structures and cells take on a striking colour contrast which can be used to instantly detect disease.

Project lead, Professor Brian Abbey has spent the past five years developing the technology at La Trobe University with co-inventor Dr Eugeniu Balaur.

“Current approaches to tissue imaging often rely on staining or labelling cells in order to render them visible under the microscope,” Professor Abbey said.

“Even with staining or labelling, it can be challenging for pathologists to detect cancer cells, with the risk that some samples are misdiagnosed, particularly during the very early stages of disease.

“Recent breakthroughs in nanotechnology have allowed us to manipulate the interaction of light with biological tissue so that abnormal cells appear to have a different colour to healthy ones. Comparing images from our slides to conventional staining is like watching colour television when all you’ve seen before is black and white.”

In the study, the researchers at La Trobe teamed up with co-lead researcher Associate Professor Belinda Parker’s group at the Peter MacCallum Cancer Centre to trial the new technology as an aid to diagnosing very early-stage breast cancer.

The study was conducted in collaboration with colleagues from the Garvan Institute of Medical Research, the Royal Melbourne Hospital, the Olivia Newton‐John Cancer Research Institute, The University of Melbourne and the Australian National University.

Associate Professor Parker said current techniques can mean it is difficult to distinguish early forms of breast cancer from benign lesions, particularly when there are not many abnormally-shaped cells in a complex tissue. The NanoMslide makes such a diagnosis much easier.

“When I first looked at a tissue under the microscope on the NanoMslide, I was incredibly excited,” said Associate Professor Parker, who is also an adjunct associate professor at La Trobe.

“For the first time I saw cancer cells just popping up at me. They were a different colour from the surrounding tissue, and it was very easy to distinguish them from surrounding cells.”

Associate Professor Parker believes the NanoMslide will complement existing stains currently in use, to allow for more consistent cancer diagnoses.

“Based on our preliminary findings with the NanoMslide, we think this platform could be really useful in early breast cancer diagnosis, but also in other cancers where we're really just trying to pick up a few cancer cells in a complex tissue or a blood sample.”

Professor Abbey’s group were able to develop their slide technology by harnessing open access equipment and expertise made available by the Melbourne Centre for Nanofabrication, the flagship facility of the Victorian node of the Australian National Fabrication Facility (ANFF-VIC). The team will work with MCN and the national ANFF network as they start producing their slides in much larger quantities to enter the market and to tackle a wide range of medical as well as non-medical imaging problems.

La Trobe University Vice-Chancellor Professor John Dewar AO said the invention of the NanoMslide and its application in improved cancer diagnostics highlights the vital role universities like La Trobe play in research innovation which has the power to improve lives.

“As this remarkable invention translates from a brilliant concept into what could be a life-saving solution, La Trobe has demonstrated what can be achieved when exceptional research innovation comes together with strong industry partners,” Professor Dewar said.

The NanoMslide was supported through La Trobe’s Strategic Innovation Fund, established to fast-track the translation of research findings into successful business ventures.

La Trobe is now aiming to engage with industry partners, with future plans to commercialise the NanoMslide through a new spin-out company, Allesense.

About industry engagement at La Trobe University

At La Trobe we engage with industry to provide opportunities for our students, and translate our research for impact. With our industry partners we create opportunities for our partners to access the research, infrastructure and education and training to develop their workforce and their business. We look to create value for all involved as we strive to be a partner of choice. Read more on our website.

About Peter Mac

Peter MacCallum Cancer Centre is a world-leading cancer research, education and treatment centre and Australia’s only public health service solely dedicated to caring for people affected by cancer. Find out more on the Peter Mac website.

About ANFF

The Australian National Fabrication Facility (ANFF) provides academia and industry with access to more than 500 state-of-the-art micro/nanofabrication facilities through 21 Australian locations. Established under the National Collaborative Research Infrastructure Strategy (NCRIS), ANFF has been enabling R&D through a mixture of training, expert support and direct access in an IP neutral environment for more than a decade. Find out more on the ANFF website.

Multimedia

La Trobe University Professor Brian Abbey
La Trobe University Professor Brian Abbey
Associate Professor Belinda Parker
Associate Professor Belinda Parker
Australian National Fabrication Facility provided tools to create the NanoMslide
Australian National Fabrication Facility provided tools to create the NanoMslide
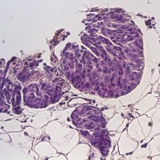
Cancerous tissue viewed on a traditional microscope slide using standard stain
Cancerous tissue viewed on a traditional microscope slide using standard stain
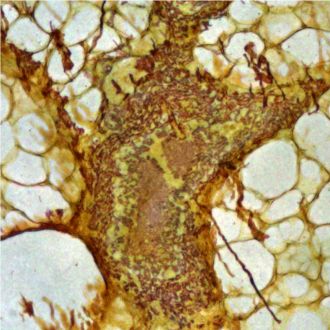
Unstained cancerous tissue viewed using a NanoMslide
Unstained cancerous tissue viewed using a NanoMslide
Unstained healthy non-cancerous tissue viewed using a NanoMslide
Unstained healthy non-cancerous tissue viewed using a NanoMslide
Journal/
conference:
Nature
Research:Paper
Organisation/s: La Trobe University, Peter MacCallum Cancer Centre, Garvan Institute of Medical Research, The University of Melbourne, The Australian National University
Funder: Australian Research Council through the Centre of Excellence in Advanced Molecular Imaging, Victorian Cancer Agency, National Breast Cancer Foundation NBCF, Sydney Breast Cancer Foundation, La Trobe Biomedical and Environmental Sensor Technology (BEST) Research Centre. This work was performed in part at the Melbourne Centre for Nanofabrication (MCN) in the Victorian Node of the Australian National Fabrication Facility (ANFF).
Media Contact/s
Contact details are only visible to registered journalists.