Seeing is believing: Viewing medical images may convince people to change

Publicly released:
International
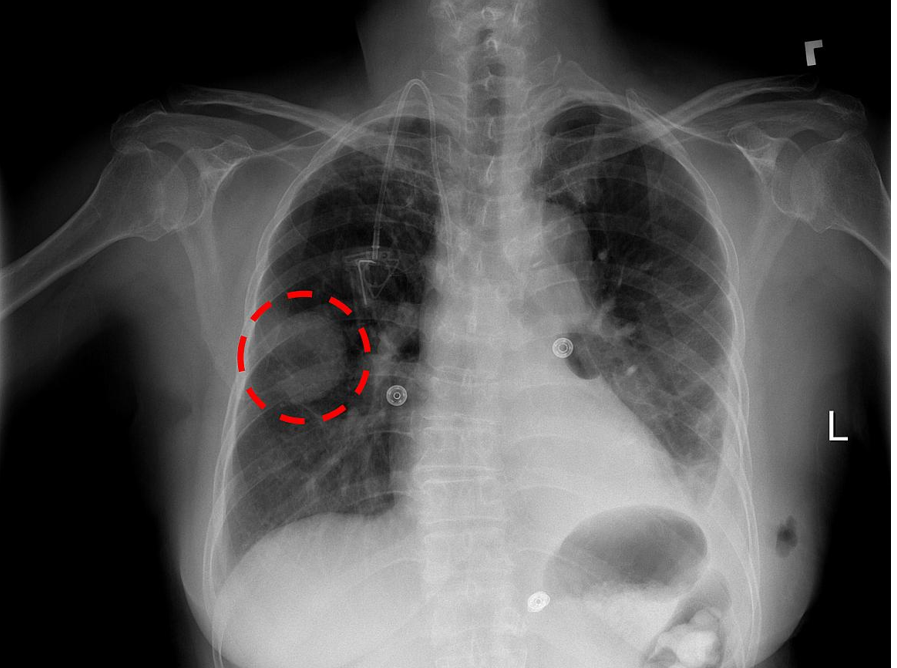
NIH Image Gallery / Flickr - Chest x-ray showing a lung mass - https://www.flickr.com/photos/nihgov/37136227250/in/photolist-YzASyb
NIH Image Gallery / Flickr - Chest x-ray showing a lung mass - https://www.flickr.com/photos/nihgov/37136227250/in/photolist-YzASyb

Pictures could have power over people when it comes to tackling risky health habits like smoking, dodgy diets, or lounging too long on the couch. Combined analysis of 21 studies concludes that if a patient views their own medical imaging such as ultrasound or radiography results - to see for themselves their personal disease risk - that may discourage risky actions more than non-visual communication. Existing studies have drawbacks, though, so the authors want to see more research to confirm the potential of feeding back medical images to patients.

Media release

From: PLOS

Seeing is believing when it comes to health risk and behavior change

Personalized imaging to visualize health may be effective in discouraging risky behaviors

They say a picture can convey a thousand words, and researchers have found that using medical imaging technologies that can visualize health may discourage risk-related behaviors more than non-visual information. The meta-analysis, publishing March 3rd in the open access journal PLOS Medicine, finds that when individuals undergo an imaging procedure and are shown visual personalized information about their own risk of disease, they may be more likely to reduce risky behaviors.

Non-communicable diseases are estimated to account for over two-thirds of deaths worldwide each year and are linked to behaviors such as smoking, poor diet, and lack of physical exercise. Behavior change can reduce risks and many interventions intend to motivate such change. Researchers are keen to understand whether the growing use of medical imaging technologies could help.

Gareth Hollands and colleagues at the University of Cambridge, UK conducted a meta-analysis of 21 randomized controlled trials involving over 9,000 adult participants. Participants were either shown visual examples of personalized risk information following an imaging procedure, such as computed tomography, ultrasound, or radiography, in addition to health information or advice, or they received health information or advice with no visual feedback. The trials reported on behaviors including smoking, medication use, physical activity, diet, oral hygiene, sun protection, tanning booth use, blood glucose testing, skin self-examination, and foot care.

The strongest evidence was for smoking reduction, a healthier diet, increased physical activity, and increased oral hygiene behaviors. Single studies also reported increased skin self-examination and foot care following visualized feedback. The other behaviors were improved by visual interventions, but results were not statistically significant. The authors conclude that the growth of medical imaging technology could be capitalized on to help people change and reduce disease risks.

Hollands adds, “Medical imaging scans are used ever more widely by healthcare professionals. By gathering together the existing research, this study suggests that showing the scan results to patients to highlight the state of their health could motivate them to behave in a healthier way.”

#####

Attachments

Note: Not all attachments are visible to the general public. Research URLs will go live after the embargo ends.

Research PLOS, Web page Public link after embargo lifts
Journal/
conference:
PLOS Medicine
Research:Paper
Organisation/s: University of Cambridge, University College London, UK
Funder: N/A. Competing interests: The authors have declared that no competing interests exist.
Media Contact/s
Contact details are only visible to registered journalists.