New way found to treat early relapse in leukaemia

Publicly released:
Australia; International; VIC; SA

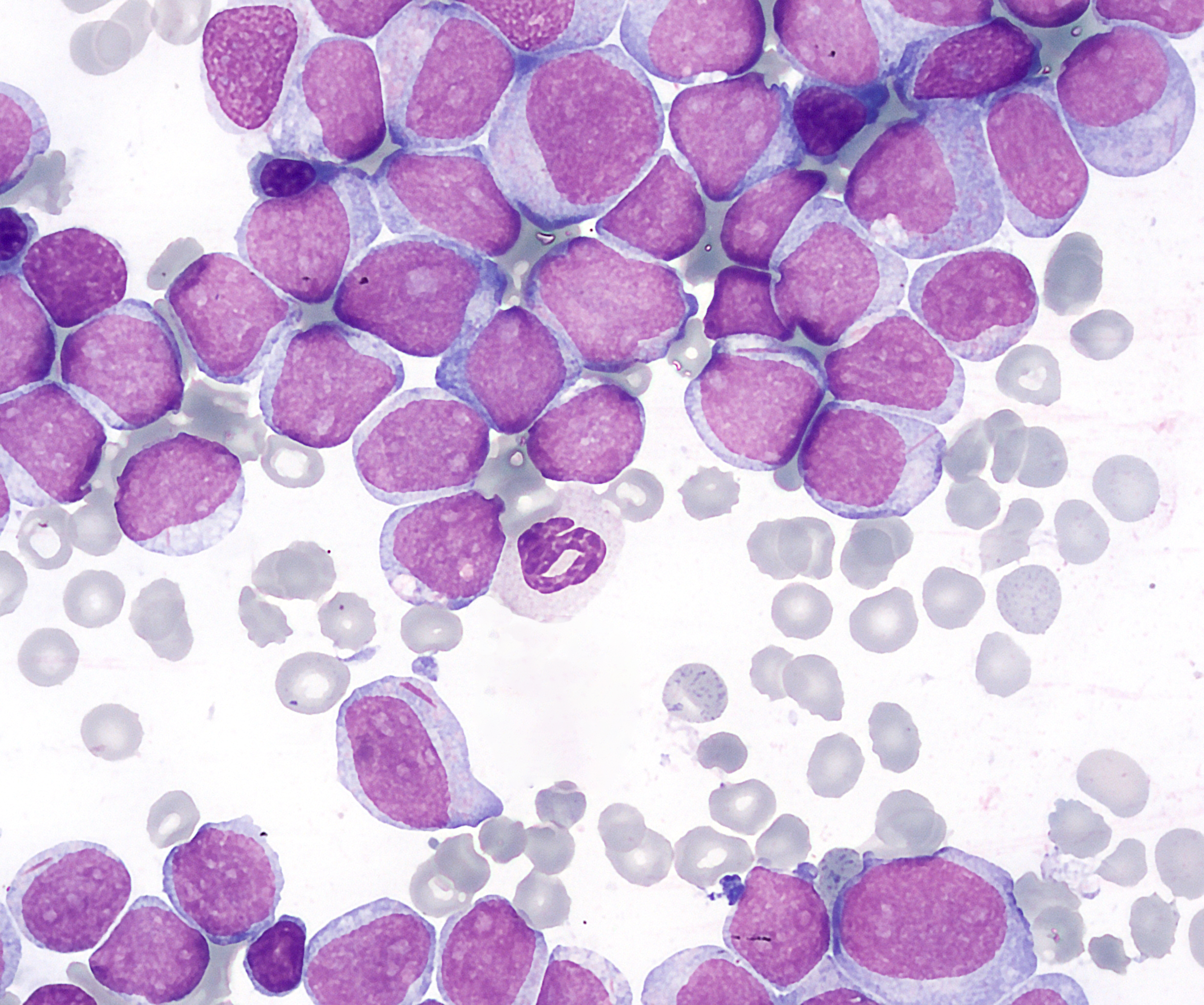
Researchers at Peter Mac have found a new way to treat a form of leukaemia that stops the disease in its tracks to prolong remission. New research, published in the Journal of Clinical Oncology, has shown how a new combination of a molecular technology called Measurable Residual Disease (MRD), medication and low-dose chemotherapy is helping patients live longer with Acute Myeloid Leukaemia (AML).

Media release

From: Peter MacCallum Cancer Centre

Researchers find a new way to treat early relapse in leukaemia

Researchers at Peter Mac have found a new way to treat a form of leukaemia that stops the disease in its tracks to prolong remission.

New research, published in the Journal of Clinical Oncology, has shown how a new combination of a molecular technology called Measurable Residual Disease (MRD), medication and low-dose chemotherapy is helping patients live longer with Acute Myeloid Leukaemia (AML).

Despite the best treatment, many patients with AML have recurrent disease within the first two years. This MRD test provides advanced warning that the disease is returning several months before the leukaemia is visible under the microscope or the patient develops abnormal blood counts.

As soon as MRD was detected to rise, patients were treated with a pill called venetoclax combined with low-dose, under-the-skin injection of chemotherapy that stopped the leukaemia in its tracks in the majority of patients.

Dr Ing-Soo Tiong, haematologist and researcher at Peter Mac, said with the previous approach to treatment, the median survival after first relapse is only 6-8 months. Results of this clinical trial shows 50-70 per cent of AML patients are still alive after two years.

“Prior to this discovery, patients and clinicians face the uncertainty of disease relapse, and the only treatment option then was an even stronger dose of salvage chemotherapy requiring at least a month of stay in hospital associated with a very high risk of infection,” he said.

“In this new study we measured a patient’s MRD as soon as they finished chemotherapy with the aim of the data telling us which patients were most likely to relapse.”

Professor Andrew Wei, co-lead of the AML program at Peter Mac and Royal Melbourne Hospital, explained this option meant patients could be treated as an outpatient or by hospital in the home with results comparable to intensive chemotherapy.

“This is a paradigm-changing clinical trial that utilises molecular technologies to enable patients to receive their interventional therapy much earlier than normal and with less toxicity,” he said.

“The response to treatment was fast and durable, enabling patients to receive a subsequent stem cell transplant with much lower levels of disease burden and enhanced fitness.

“This is the first ever prospective trial using a pre-emptive MRD targeted approach. It has led to the development of a new national trial called INTERCEPT, coordinated by the Australasian Leukaemia and Lymphoma Group.”

The INTERCEPT trial is currently recruiting patients at Peter Mac and approximately 15 sites nationwide. AML is a type of blood cancer that affects the blood and bone marrow. It is a rare cancer with 1,218 people diagnosed in Australia in 2019.

Journal/
conference:
Journal of Clinical Oncology
Research:Paper
Organisation/s: Peter MacCallum Cancer Centre, The University of Adelaide, Monash University, The University of Melbourne, South Australian Health and Medical Research Institute (SAHMRI)
Funder: The Victorian Cancer Agency (A.H.W.), Australian National Health and Medical Research Council (A.H.W.), and AbbVie. Funding from Cancer Australia, MRFF, and the Leukaemia Foundation (D.K.H.).
Media Contact/s
Contact details are only visible to registered journalists.