Inflammatory bowel disease in world populations follows similar patterns over time

Publicly released:
Australia; New Zealand; International
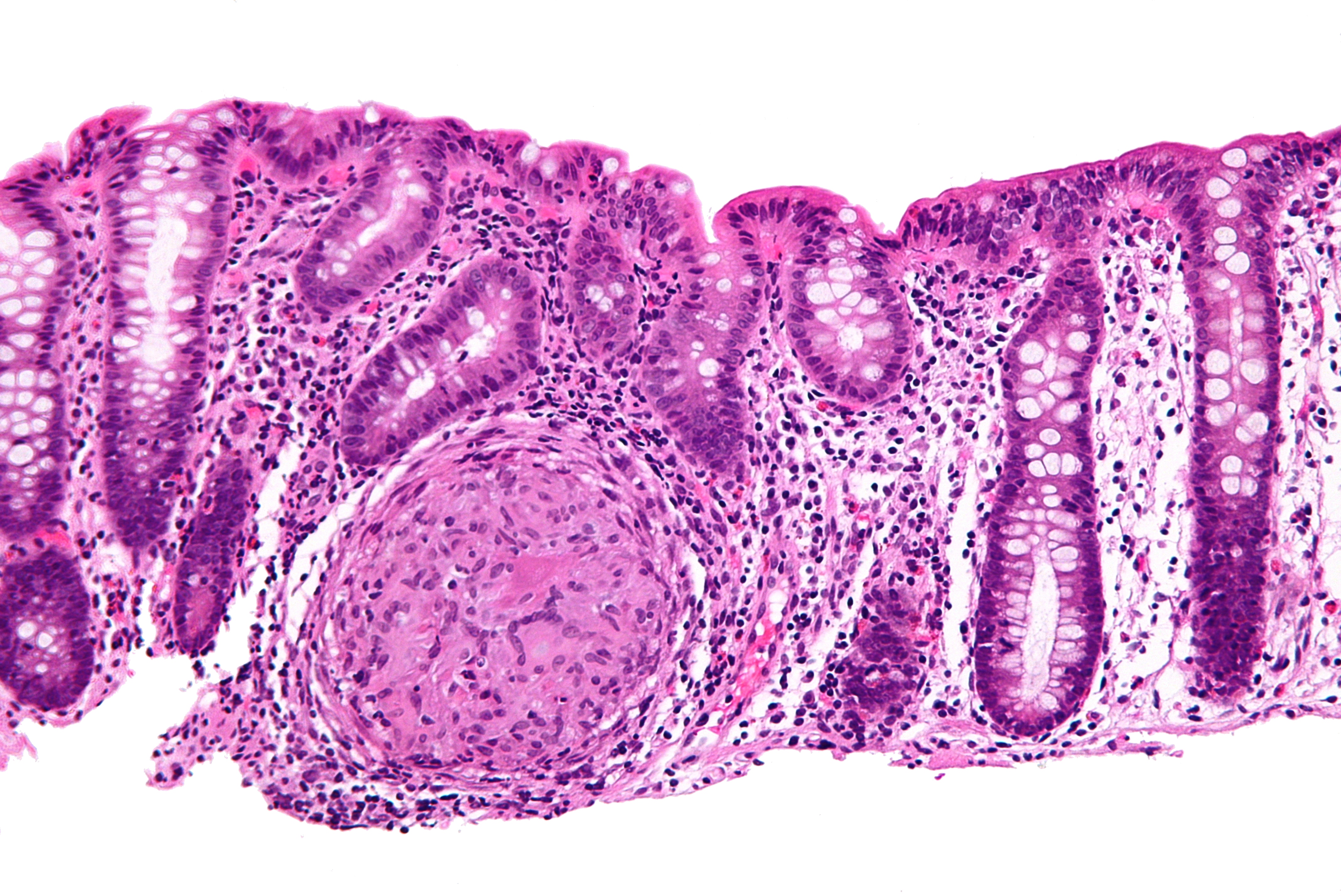
Crohn's disease - colon - Nephron, CC BY-SA 3.0 <https://creativecommons.org/licenses/by-sa/3.0>, via Wikimedia Commons
Crohn's disease - colon - Nephron, CC BY-SA 3.0 <https://creativecommons.org/licenses/by-sa/3.0>, via Wikimedia Commons

An analysis of over 500 inflammatory bowel disease (IBD) studies spanning over a century shows how the disease changes in populations over time. Researchers looked at how different world regions move through three stages, defined by numbers of new and total cases: emerging, with few new cases; stage 2, with an accelerating rate of new cases; and stage 3, where the rate of new cases slows and total cases increase steadily. This showed, for example, that NZ moved from stage 2 to 3 around the turn of the 21st century.  The researchers also modelled how some regions might reach a fourth stage, in which total cases stabilise as new cases are balanced by deaths, and say their findings could help health systems anticipate and address the burden of IBD.

Attachments

Note: Not all attachments are visible to the general public. Research URLs will go live after the embargo ends.

Research Springer Nature, Web page URL will go live after the embargo lifts
Journal/
conference:
Nature
Research:Paper
Organisation/s: University of Otago, University of Calgary
Funder: This work was conducted by the Global Cluster of IOIBD. The work was funded by The Leona M. and Harry B. Helmsley Charitable Trust (grant no. G-2108-04777); the Canadian Institutes of Health Research, Project Scheme Operating Grant (reference no. PJT- 162393); and the International Organization for the study Inflammatory Bowel Disease (IOIBD). S.C.N. has received research funding from the Research Grants Council–Research Impact Fund (RGC-RIF, grant no. R4030-22), New Cornerstone Science Foundation (grant no. NCI202346), InnoHK, The Government of Hong Kong, Special Administrative Region of the People’s Republic of China, and the Leona M. and Harry B. Helmsley Charitable Trust (grant no. 2017PG-IBD003).
Media Contact/s
Contact details are only visible to registered journalists.