Increased monitoring capacity of deadly prion diseases

Publicly released:
Australia; VIC
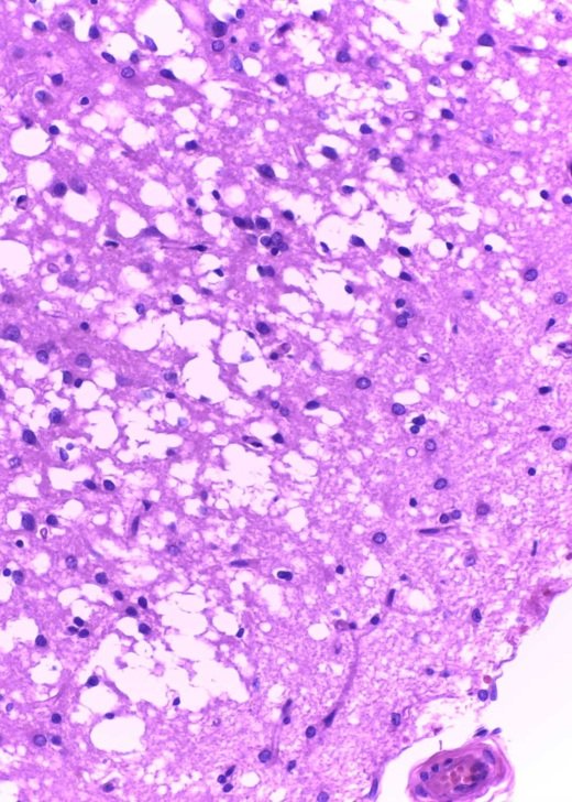
Image of a brain with signs of Creutzfeldt-Jakob disease (CJD).  Picture supplied by The Florey
Image of a brain with signs of Creutzfeldt-Jakob disease (CJD). Picture supplied by The Florey

A state-of-the-art service based at The Florey is increasing its capacity to protect the public from the fatal brain condition Creutzfeldt-Jakob disease (CJD). The rare neurodegenerative illness, caused by misfolded proteins called prions in the brain, is always fatal, killing about 50-60 people in Australia every year. Last year, Florey scientists tested 651 cerebrospinal fluid specimens from around Australia, a substantial increase from 599 diagnostic referrals in 2022.

Media release

From: Florey Institute of Neuroscience and Mental Health

A state-of-the-art service based at The Florey is increasing its capacity to protect the public from the fatal brain condition Creutzfeldt-Jakob disease (CJD).

The rare neurodegenerative illness, caused by misfolded proteins called prions in the brain, is always fatal, killing about 50-60 people in Australia every year.

The Australian National CJD Registry (ANCJDR), housed at The Florey, provides comprehensive diagnostic, surveillance, research and epidemiological services for all forms of human prion disease.

Definite cases of CJD require confirmation by autopsy (or less commonly by brain biopsy), with the ANCJDR coordinating the collating all resulting data.

The registry’s co-director, neurologist Professor Steve Collins said a recent substantial funding boost, of $3.02 million over five years, announced by the Australian Government will enable the registry to meet growing demand for diagnostic and other services while searching for a cure.

“These are devastating diseases,” Professor Collins said. “There is no cure, and sadly patients grow steadily more ill until death. About 15 per cent of cases are genetic, and the rest are without apparent cause often occurring like a bolt from the blue.”

Last year, Florey scientists tested 651 cerebrospinal fluid specimens from around Australia. This substantial increase from 599 diagnostic referrals in 2022 reflects increased awareness of CJD and prion diseases by Australian clinicians, he said.

Minister for Health and Aged Care, the Hon Mark Butler said the Government was proud to support the important work of Florey researchers.

“The Albanese Government is investing $3 million with The Florey as part of our commitment to championing Australia’s best and brightest minds in our health and medical research sector, to conduct vital public health surveillance and epidemiology research for CJD, ensuring timely and effective infection control, surveillance, and response to prion disease in Australia,” Minister Butler said.

Professor Collins said CJD is unique, in that it has in the past also, in rare circumstances, spread through medical procedures which involve brain or other high-risk tissues.

“We provide vital expert advice to governments, health departments, families, and health care workers on infection control and contamination management. The increase in funding we’ve received for the next few years allows us to maintain, improve and grow our diagnostic services and continue to protect public health.”

Registry coordinator, Dr Christiane Stehmann, said the ANCJDR was launched in 1993 when four young women died after receiving CJD-contaminated hormone fertility treatments that potentially put many more lives at risk.

“Not only has Australian National CJD Registry become a valuable resource for doctors and health departments,” Dr Stehmann said. “We have also formed close ties within the global CJD surveillance and research community and Australia’s CJD Support Group Network.”

She said the registry’s role was about much more than just monitoring and studying a disease.

“It’s about helping people and making a difference. Our team of nine dedicated scientists and doctors is proud that we contribute to the knowledge of this rare disease.”

CJD in Australia

In the most recent published update to the Australian Communicable Disease Intelligence network, the Australian National CJD Registry reported for 2022:

  • 599 cerebrospinal fluid samples received from around Australia
  • 79 new people with suspected human prion disease were formally added to the register, including:
  • 19 who were deceased and had a pending but unconfirmed diagnosis
  • 17 who were alive and had a pending but unconfirmed diagnosis
  • 23 “probable” cases based on clinical information
  • 15 who were confirmed through neuropathology
  • 5 who were confirmed as not having prion disease
  • about half of all cases were confirmed by post-mortem brain examination
  • fewer than one per cent of cases were confirmed in-life with a brain biopsy once symptoms appear
  • about half of cases are classified as ‘probable CJD’ after detailed case file review without an autopsy.

Read more about CJD

Multimedia

CJD: 30 years of work at The Florey
Journal/
conference:
Organisation/s: Florey Institute of Neuroscience and Mental Health
Funder: Australian Government
Media Contact/s
Contact details are only visible to registered journalists.