Broken ribs hurt horribly - and can lead to pneumonia or death

Publicly released:
New Zealand
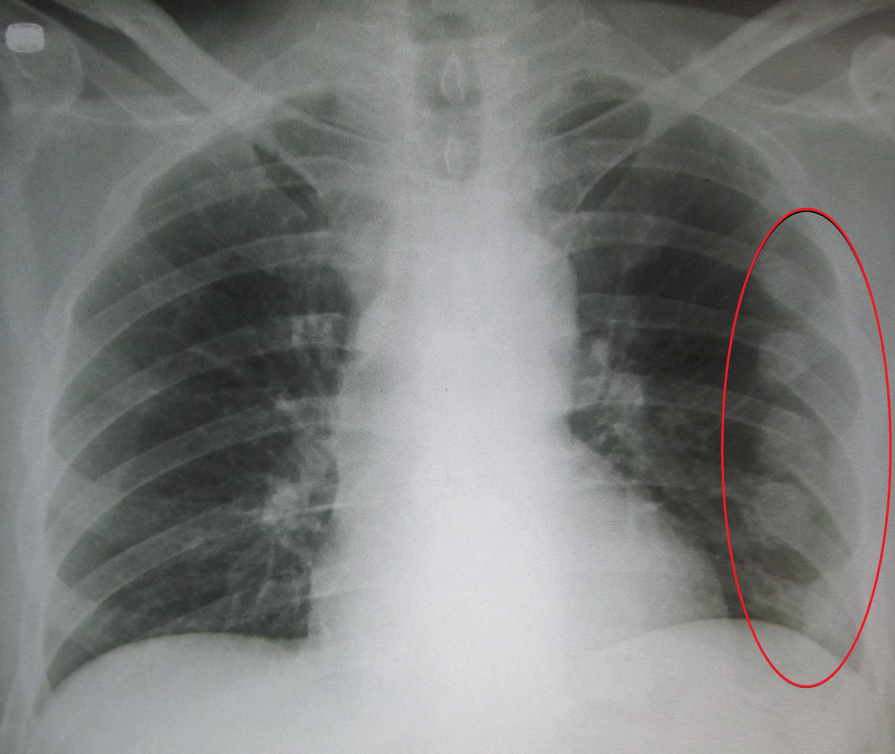
An X ray showing multiple old fractured ribs of the persons left side as marked by the oval, James Heilman, Wikimedia Commons - https://commons.wikimedia.org/wiki/File:Fracturedribsmarked.jpg
An X ray showing multiple old fractured ribs of the persons left side as marked by the oval, James Heilman, Wikimedia Commons - https://commons.wikimedia.org/wiki/File:Fracturedribsmarked.jpg

Eleven per cent of 407 patients in NZ with broken ribs caught pneumonia, finds the first study to look at rib fracture management and outcomes in multiple New Zealand hospitals. In addition to the pneumonia cases, the study found two per cent of rib fracture patients died. The NZ pneumonia rate is higher than some overseas reports, with a large US study finding theirs was just two per cent. Furthermore, eight per cent of patients were admitted more than once for rib fractures, with Māori and older people over-represented. The authors say NZ’s pneumonia rate among people who've broken their ribs could be lowered with quality improvement initiatives, and the repeat fractures in Māori and older people should be investigated.

Media release

From:

Attachments

Note: Not all attachments are visible to the general public. Research URLs will go live after the embargo ends.

Research Elsevier, Web page
Journal/
conference:
Injury
Research:Paper
Organisation/s: Whāngarei Hospital
Funder: Competing interests’ statement: The authors have no competing interests.
Media Contact/s
Contact details are only visible to registered journalists.